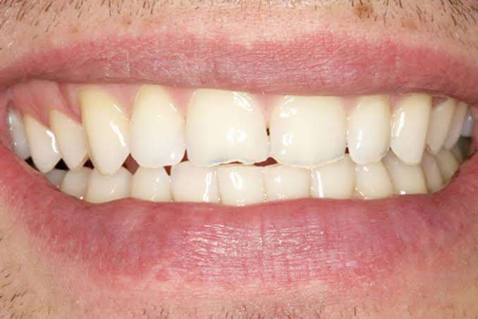
BRUKSIZAM
Bruksizam je medicinski termin koji opisuje nesvjesno stiskanje ili škripanje zubima. Može se javiti tokom dana (dnevni bruksizam) ali je najčešće prisutan tokom sna (noćni bruksizam). Ova navika može biti…
Ksilitol – prirodni zaslađivač sa zdravstvenim prednostima Ksilitol je prirodni šećerni alkohol koji se koristi kao zamjena za šećer. Najčešće se dobiva iz drveta breze ili kukuruznih vlakana, a nalazi se i u manjim…
Mnogi od nas ne mogu zamisliti početak dana bez mirisne kafe. Osim što nas razbuđuje, kafa je i dio svakodnevne rutine, pauze na poslu ili druženja sa prijateljima. Ipak, ako…
Čaj od žalfije (Salvia officinalis) nije samo ukusan napitak, već i prirodni saveznik u održavanju zdravlja usne šupljine. Njegova ljekovita svojstva prepoznata su još u antičko doba, a moderna istraživanja…
Oralna higijena tokom trudnoće Trudnoća je posebno razdoblje koje zahtijeva dodatnu pažnju prema zdravlju, uključujući i oralnu higijenu. Hormonalne promjene mogu povećati sklonost upalama desni, što može uticati na Vaše…